sageatavlad.ro
  • Home
  • Despre mine
  • Blog
  • Cazuri
  • Contact
EN

Studii de Caz

  • Portofoliu

Cazuri Medicale de Succes

Descoperiți istoriile de succes ale pacienților noștri și rezultatele obținute prin tratamentele personalizate.

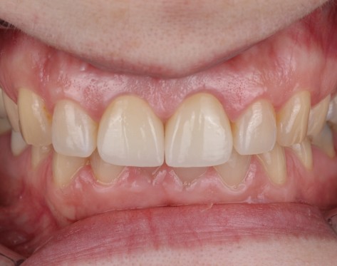
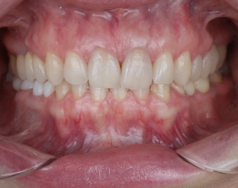
Coroane Ceramice Integral pentru Zona Estetica

Protetica Dentara

Coroane Ceramice Integral pentru Zona Estetica

Tratament Complex de Parodontologie si Regenerare

Parodontologie

Tratament Complex de Parodontologie si Regenerare

Makeover Estetic Complet cu Facete de Portelan

Estetica Dentara

Makeover Estetic Complet cu Facete de Portelan

Reconstructie Completa cu Implanturi All-on-4

Implantologie

Reconstructie Completa cu Implanturi All-on-4

sageatavlad.ro

0752.299.468

me@sageatavlad.ro

Navigation
  • Despre mine
  • Blog
  • Cazuri Medicale
  • Contact
Follow Us

Copyright © 2026 sageatavlad.ro. All Rights Reserved.
sageatavlad.ro © 2026