Salut, eu sunt

Dr. Vlad Sageata

Consider ca niciun caz medical nu este imposibil.

Experienta Mea

Medic stomatolog protetician cu competente in implantologie, specializat in reabilitari orale complexe si tratamente estetice avansate.

Filozofia Mea

Cred ca fiecare zambet merita sa fie perfect. Abordez fiecare caz cu dedicare si folosesc cele mai moderne tehnici pentru rezultate optime.

10+

Ani de experienta in stomatologia protetica si implantologie dentara.

500+

Pacienti cu zambete restaurate prin tratamente protetico-implantare.

98%

Rata de succes in reabilitarile orale complexe si implantologia.

Domeniile Mele de Expertiza

Servicii stomatologice complete pentru sanatatea si estetica dentara

Protetica Dentara

Coroane, punti dentare si proteze pentru restaurarea completa a functiei masticatorii.

Implantologie

Implanturi dentare cu materiale premium pentru inlocuirea permanenta a dintilor lipsa.

Estetica Dentara

Tratamente estetice pentru zambete perfecte: facete, albire, conturarea gingivala.

Reabilitari Orale

Reconstructii orale complexe pentru cazuri avansate de edentatie multipla.

Abordare Personalizata

Fiecare tratament este adaptat nevoilor individuale pentru rezultate optime.

Cazuri medicale

Descoperiti transformarile dentare remarcabile pe care le-am realizat pentru pacientii mei.

Reconstructie Completa cu Implanturi All-on-4

Reconstructie Completa cu Implanturi All-on-4

Contextul CazuluiPacient în vârstă de 58 de ani, cu edentație completă mandibulară și parțial...

Citeste mai mult
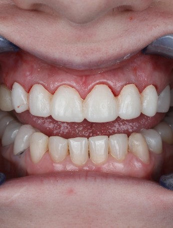
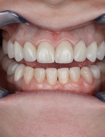
Makeover Estetic Complet cu Facete de Portelan

Makeover Estetic Complet cu Facete de Portelan

Cazul ClinicPacientă de 35 de ani, cu dinți frontali decolorați, uzați și malpozionați, dorind o ...

Citeste mai mult
Tratament Complex de Parodontologie si Regenerare

Tratament Complex de Parodontologie si Regenerare

Cazul ClinicPacient în vârstă de 45 de ani, cu boala parodontală avansată, mobilitate dentară și r...

Citeste mai mult

Ultimele Articole

Informatii utile despre sanatatea dentara si cele mai noi tehnici stomatologice.

Programeaza o Consultatie

Contacteaza-ma pentru o evaluare completa si un plan de tratament personalizat.

Trimite-mi un mesaj

Informatii de Contact

Telefon

0752.299.468

Email

me@sageatavlad.ro

Adresa

Piata Victoriei 100