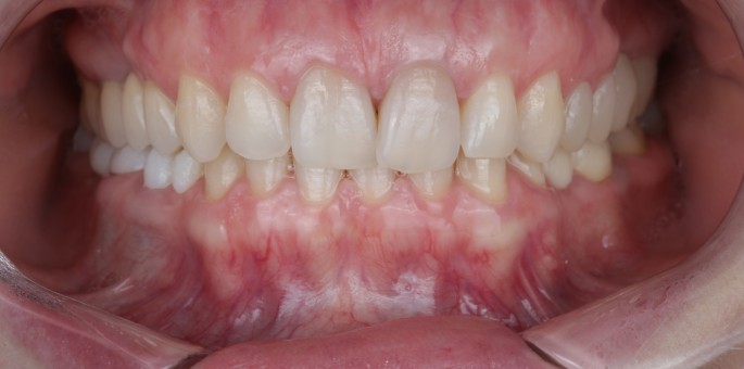
Coroane Ceramice Integral pentru Zona Estetica

Restaurări estetice avansate pentru dinții frontali

Coroane Ceramice Integral pentru Zona Estetica

Profilul Cazului

Pacient în vârstă de 42 de ani, cu fracturi dentare extensive pe dinții frontali în urma unui accident, necesitând restaurări complete în zona estetică.

Protocolul de Restaurare

Am dezvoltat un plan de tratament estetic complex:

  • Evaluarea endodontică È™i tratamentul canalicular
  • ReconstrucÈ›ia cu materiale compozite întărite cu fibră
  • Prepararea precisă pentru coroane integrale
  • Realizarea de coroane ceramice stratificate
  • Integrarea perfectă cu È›esuturile gingivale

Rezultatul Estetic

Restaurare completă în 4 săptămâni:

  • Aspect natural identic cu dinÈ›ii originali
  • FuncÈ›ie masticatorie completă
  • Rezistență optimă la uzură È™i fractură
  • Integrare perfectă cu gingia
  • SatisfacÈ›ie estetică È™i funcÈ›ională maximă

Pacientul a revenit la încrederea în sine și nu mai ezită să zâmbească în public.

Categorie

Protetica Dentara

Tip Tratament

Personalizat

Status

Caz de Succes