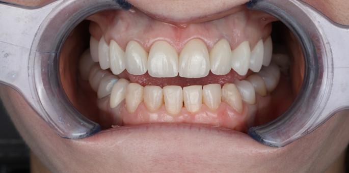
Makeover Estetic Complet cu Facete de Portelan

Transformare completă a zambetului cu tehnologie ceramică

Makeover Estetic Complet cu Facete de Portelan

Cazul Clinic

Pacientă de 35 de ani, cu dinți frontali decolorați, uzați și malpozionați, dorind o transformare estetică completă pentru un eveniment special important.

Strategia Estetică

Am implementat un protocol avansat de remodelare estetică:

  • Analiza digitală a zâmbetului È™i simulare 3D
  • Albire profesională pre-tratament
  • Prepararea minimă a dintilor frontali
  • Aplicarea a 10 facete de porÈ›elan ultrafine
  • Ajustarea ocluziei È™i finisarea detaliată

Rezultatul Final

Transformare spectaculoasă în 3 săptămâni:

  • Zâmbet perfect simetric È™i natural
  • Culoare uniformă È™i strălucitoare
  • ÃŽmbunătățirea profilului facial
  • CreÈ™terea dramatică a încrederii în sine
  • Durabilitate de peste 15 ani cu îngrijire corespunzătoare

Pacienta a fost extrem de mulțumită și a recomandat serviciile numeroaselor prietene.

Categorie

Estetica Dentara

Tip Tratament

Personalizat

Status

Caz de Succes