Reconstructie Completa cu Implanturi All-on-4

Reabilitare orală complexă cu tehnologie avansată

Reconstructie Completa cu Implanturi All-on-4

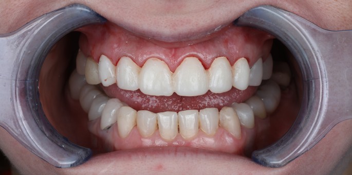
Contextul Cazului

Pacient în vârstă de 58 de ani, cu edentație completă mandibulară și parțială maxilară, cu probleme funcționale severe și impact psihologic major. Pacientul folosea o proteză mobilă veche, instabilă și inconfortabilă.

Planul de Tratament

Am dezvoltat un plan complex de reabilitare orală care a inclus:

  • Evaluare detaliată prin tomografie 3D
  • Planificare digitală a poziÈ›iei implanturilor
  • Plasarea a 4 implanturi în mandibulă (All-on-4)
  • Proteză fixă provizorie în aceeaÈ™i zi
  • Ajustări periodice È™i monitorizare

Rezultate Obținute

După 6 luni de vindecare și integrare:

  • Stabilitate completă a protezei fixe
  • ÃŽmbunătățirea cu 95% a capacității masticatorii
  • Restaurarea încrederii în sine È™i a calității vieÈ›ii
  • Reducerea durerii È™i inflamaÈ›iei gingivale
  • SatisfacÈ›ie maximă a pacientului

Pacientul a revenit la o alimentație normală și a recăpătat zambetul natural.

Categorie

Implantologie

Tip Tratament

Personalizat

Status

Caz de Succes